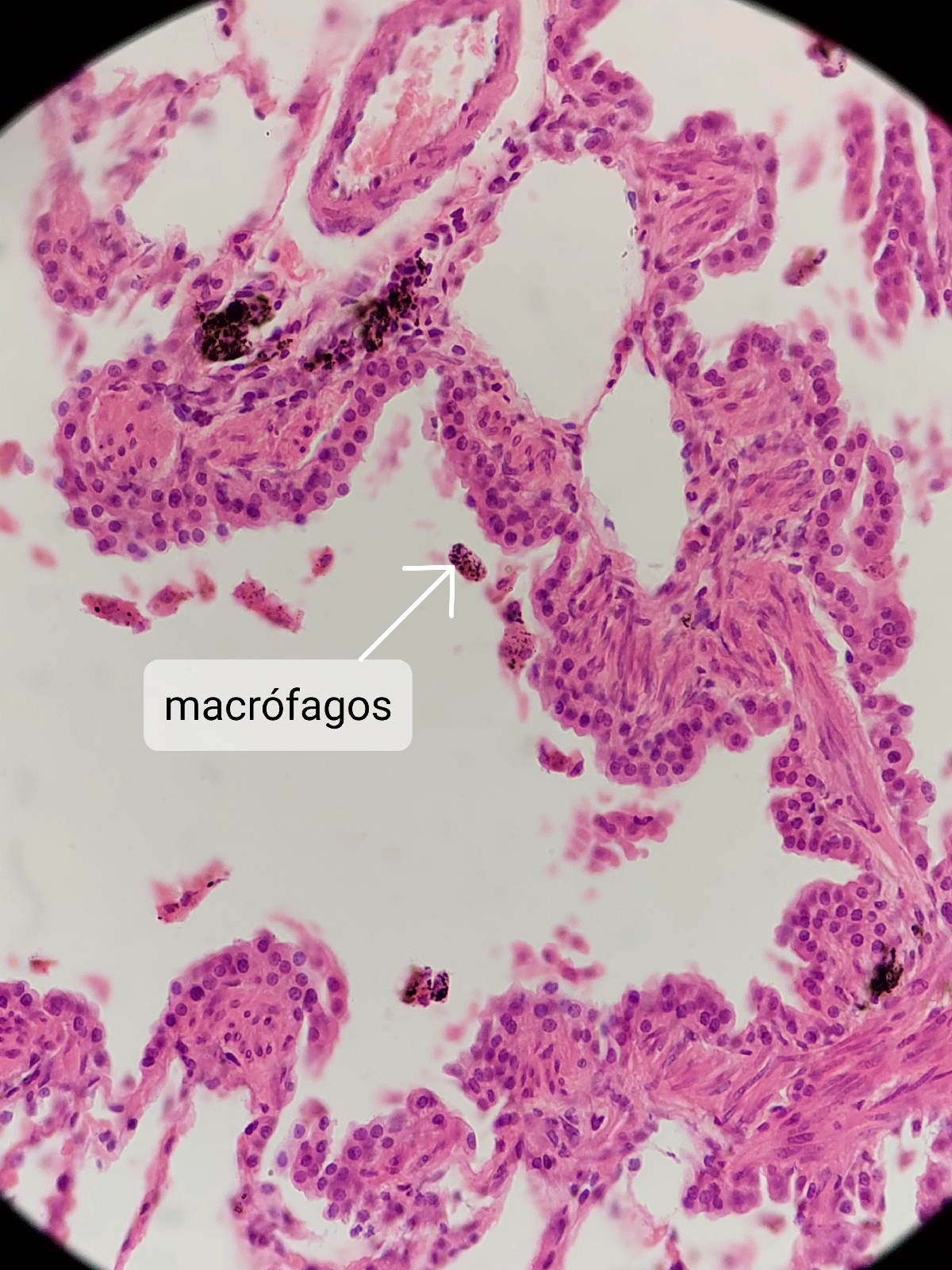
TP16: Histología del aparato respiratorio Obtener vínculo Facebook X Pinterest Correo electrónico Otras apps septiembre 13, 2022 Histología del sistema respiratorio• Tráquea, HE, 10x • Tráquea, HE, 40x • Pulmón, HE, 5x • Pulmón, HE, 10x Bronquiolo propiamente dicho: Tejido epitelial cilíndrico simple Bronquiolo terminal: Tejido epitelial simple de cilíndrico a cúbicoBronquiolo respiratorio: Tejido epitelial cúbico simple• Pulmón, HE, 40x Obtener vínculo Facebook X Pinterest Correo electrónico Otras apps Comentarios MARÍA EUGENIA15 de septiembre de 2022 a las 5:20 p.m.Excelente Melanie! muy completoResponderBorrarRespuestasResponderAgregar un comentarioCargar más... Publicar un comentario
TP 21: Aparato urinario octubre 05, 2022 Aparato urinario * Riñon, HE, 40x * Uréter, tricrómico, 10x * Vejiga, HE, 10X Leer más
TP17: Histología del aparato cardiovascular septiembre 13, 2022 Histología del sistema cardiovascular • Corazón (paloma), HE, 10x • Corazón (paloma), HE, 40x • Corazón (ratón), HE, 10x • Corazón (ratón), HE, 40x • Aorta, HE, 10x • Aorta, HE, 40x • Aorta, orceína, 40x • Estómago (Submucosa), HE, 10x • Estómago (Submucosa), HE, 40x Leer más
Excelente Melanie! muy completo
ResponderBorrar